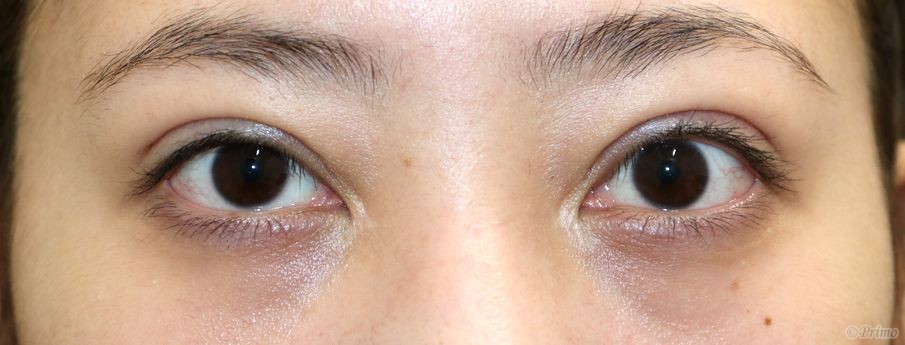
手術前の目元です。 二重修正術後2ヶ月の経過写真です。 make upなしです。 術前は他院で切開法により幅広二重を形成していましたが、 広すぎて眠そうに見える印象を改善させたいということで、 当院で二重修正術(重瞼修正切開術)+眼瞼下垂手術を行いました。 術後は二重が狭くなり眠い印象がなくなっています。 手術前の目を閉じたところです。 手術後2ヶ月の目を閉じたところです。 二重修正術 にほんブログ村 美容外科 ブログランキングへ Tags:二重修正術二重修正術(重瞼修正切開術)眼瞼下垂手術重瞼修正切開術