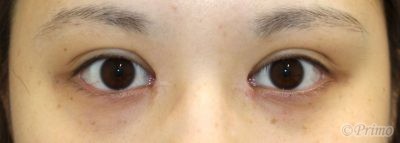
手術前の目元です。 蒙古襞形成術(目頭切開修正)2回目手術後1ヶ月の経過写真です。 make upなしです。 もう少し目の内側のピンク色部分を隠したい、 襞は小さくしたいという希望から蒙古襞形成術修正をおこないました。 術後の赤みも引いて落ち着いてきました。 目の間が広くなり、バランスが希望の方向になっています。 蒙古襞形成(目頭切開修正) にほんブログ村 美容外科 ブログランキングへ Tags:目頭切開修正術蒙古襞形成術