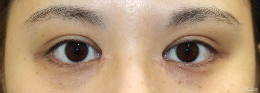
手術前の目元です。 蒙古襞形成術(目頭切開修正)2回目手術後2.5ヶ月の経過写真です。 make upなしです。 他院の目頭切開後の修正を蒙古襞形成術でおこないましたが、 さらに目と目の間を広くしたいという希望から蒙古襞形成術修正術を行いました。 術後はご希望の形態になったようです。 蒙古襞形成(目頭切開修正) にほんブログ村 美容外科 ブログランキングへ Tags:目頭切開修正術蒙古襞形成術