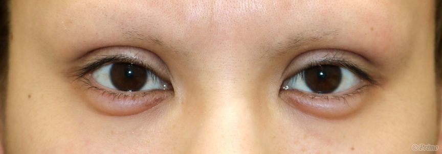
手術前の目元です。 全切開+上眼瞼脱脂術手術後1ヶ月の経過写真です。 make upなしです。 術前はノリで癖をつけていたため皮膚がとても荒れた状態でした。 当院で全切開+上眼瞼脱脂術により希望の平行型二重を作成し、 皮膚炎の症状も改善しました。 手術後1ヶ月の目を閉じたところです。 全切開 にほんブログ村 美容外科 ブログランキングへ Tags:上眼瞼脱脂術二重全切開