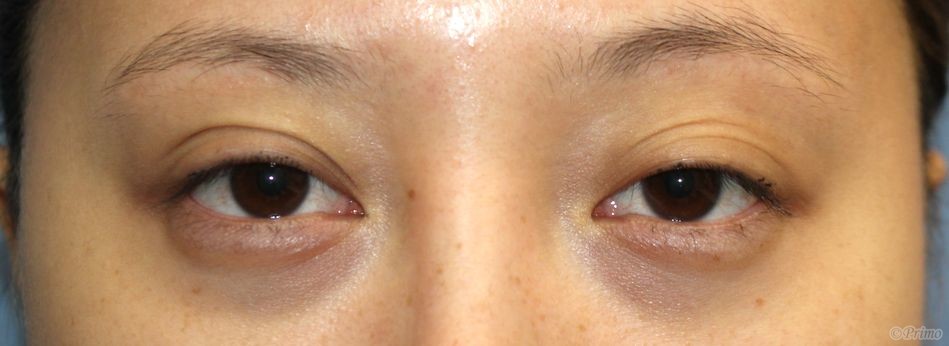
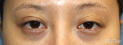
手術前の目元です。 眼瞼下垂手術+下眼瞼拡大術+目尻切開手術後1ヶ月の経過写真です。 make upなしです。 術前は他院で上眼瞼リフトと部分切開を受けていました。 目をもっと大きく見せたいということで当院で眼瞼下垂手術+下眼瞼拡大術+目尻切開を行いました。 術後は眼瞼下垂手術の効果で目の開きが良くなりました。 下眼瞼拡大術+目尻切開のコンビネーションで、目が外側、下方に拡大しました。 手術前の斜めからです。 手術後1ヶ月の斜めからです。 手術前の横からです。 手術後1ヶ月の横からです。 手術後1ヶ月の目を閉じたところです。 ・費用(税別、麻酔代別) 眼瞼下垂手術 ¥600,000 下眼瞼拡大術 ¥400,000 ・リスク・副作用(起こり得る可能性のあること) 腫れ、内出血、瞼の違和感、傷跡 埋没した吸収糸の露出 睫毛側皮膚の知覚低下 ラインの消失、瞼の形態の変化、顔の印象の変化 閉瞼不全、ドライアイ、ヘリング現象 三白眼、逆さまつ毛、複視 眼瞼下垂 下眼瞼拡大術(たれ目形成) にほんブログ村 美容外科ブログランキングへ Tags:たれ目形成術下眼瞼拡大術二重目尻切開眼瞼下垂手術