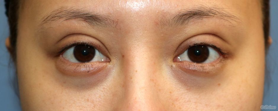
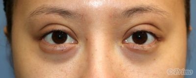
手術前の目元です。 眼瞼下垂手術+下眼瞼拡大術+目尻切開手術後2ヶ月の経過写真です。 make upなしです。 術前は他院で部分切開、上眼瞼リフトを受けていらっしゃいました。 目をもっとはっきりとさせたい、大きく見せたいという希望から、 当院で眼瞼下垂手術+下眼瞼拡大術+目尻切開を行いました。 術後は眼瞼下垂手術により目の開きが良くなり大きくなりました。 下眼瞼拡大術の効果で目が下方向に大きくなりたれ目傾向になりました。 手術前の斜めからです。 手術後2ヶ月の斜めからです。 手術前の横からです。 手術後2ヶ月の横からです。 手術後2ヶ月の目を閉じたところです。 ・費用(税別、麻酔代別) 眼瞼下垂手術 ¥600,000 下眼瞼拡大術 ¥400,000 ・リスク・副作用(起こり得る可能性のあること) 腫れ、内出血、瞼の違和感、傷跡 埋没した吸収糸の露出 睫毛側皮膚の知覚低下 ラインの消失、瞼の形態の変化、顔の印象の変化 閉瞼不全、ドライアイ、ヘリング現象 三白眼、逆さまつ毛、複視 眼瞼下垂 下眼瞼拡大術(たれ目形成) にほんブログ村 美容外科ブログランキングへ Tags:たれ目形成術下眼瞼拡大術二重目尻切開眼瞼下垂手術