
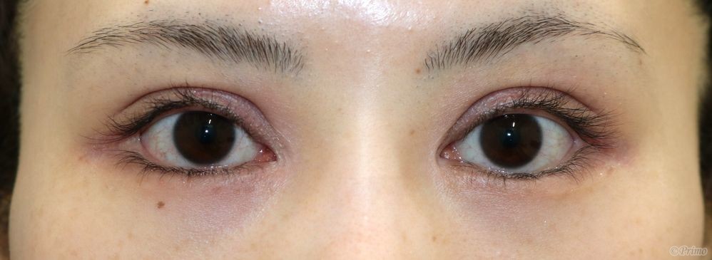
二重修正術、ROOF切除術、他院下眼瞼拡大術(たれ目形成)修正術後3ヶ月の経過写真です。
make upなしです。
術前は他院で全切開、目頭切開、目尻切開、たれ目形成術を受けていらっしゃいました。
もっと二重の幅が欲しい、目をすっきりとさせたい、もっとたれ目にしたいという希望から、
当院で二重修正術、ROOF切除術、他院下眼瞼拡大術(たれ目形成)修正術を行いました。
術後は二重幅が広くなり、瞼の厚みもROOF切除術によって改善しすっきりとしています。
下眼瞼拡大術修正術によってさらにたれ目になりました。























