H 二重修正術+眼瞼下垂手術後3ヶ月の経過写真 | プリモ麻布十番クリニック 美容整形ブログ 2503


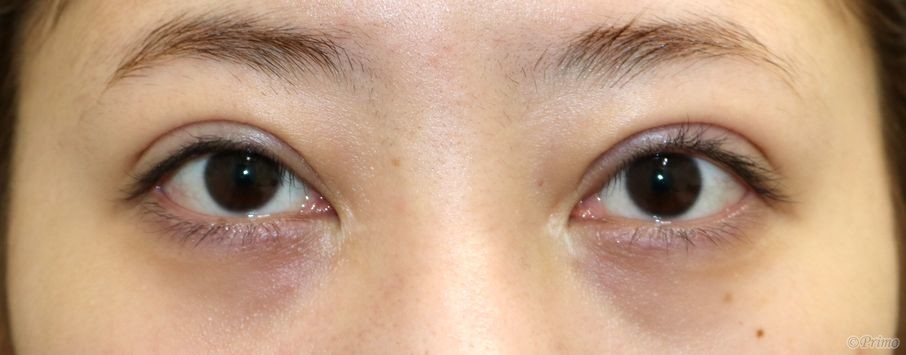
手術前の目元です。


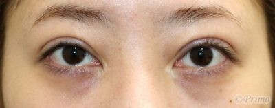
二重修正術+眼瞼下垂手術後3ヶ月の経過写真です。
make upなしです。
術前は他院で切開法による重瞼術を受けていらっしゃいましたが、
二重幅が広すぎる、もう少しすっきりとした二重にしたいというご要望から、
当院で二重修正術+眼瞼下垂手術を行いました。
手術後は二重が狭くなりより自然になりました。


手術前の目を閉じたところです。


手術後3ヶ月の目を閉じたところです。


Author 美容形成外科医 大場 理事長/院長 ブログ

More posts by 美容形成外科医 大場 理事長/院長 ブログ

© 2018 Primo All rights reserved.

メールで相談 カウンセリング予約 公式LINE オンライン診療 オンラインショップ 0120-062-069