BK 眼瞼下垂手術+目頭切開手術後2週間の経過写真 | プリモ麻布十番クリニック 美容整形ブログ 2503

BK 眼瞼下垂手術+目頭切開手術後2週間の経過写真

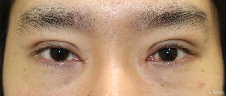
手術前の目元です。

 

眼瞼下垂手術+目頭切開手術後2週間の経過写真です。

make upなしです。

術前は手術歴はありませんでした。

平行型二重を希望され、眼瞼下垂手術、目頭切開を行っています。

術後の腫れでまだまだ完成形とは程遠いですが、

希望の平行型二重は形成されました。

 

手術後2週間の目を閉じたところです。

 

・費用(税別、麻酔代別)

 

眼瞼下垂手術 ¥600,000

目頭切開術  ¥250,000

 

・リスク・副作用(起こり得る可能性のあること)

 

腫れ、内出血、瞼の違和感

睫毛側皮膚の知覚低下

埋没した吸収糸の露出

ラインの消失

瞼の形態の変化、顔の印象の変化

閉瞼不全、ドライアイ

ヘリング現象

 


Author 美容形成外科医 大場 理事長/院長 ブログ

More posts by 美容形成外科医 大場 理事長/院長 ブログ

© 2018 Primo All rights reserved.

メールで相談 カウンセリング予約 公式LINE オンライン診療 オンラインショップ 0120-062-069