BG 眼瞼下垂手術+下眼瞼拡大術+目尻切開手術後6ヶ月の経過写真 | プリモ麻布十番クリニック 美容整形ブログ 2503

BG 眼瞼下垂手術+下眼瞼拡大術+目尻切開手術後6ヶ月の経過写真

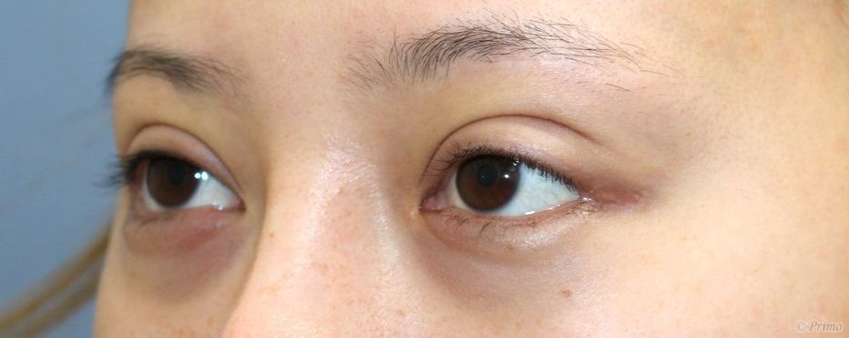
手術前の目元です。

術前は他院で上眼瞼リフト(眉毛下切開)および部分切開を受けていました。

もっと目を大きくしたいという希望から当院で眼瞼下垂手術+下眼瞼拡大術+目尻切開を行いました。

 

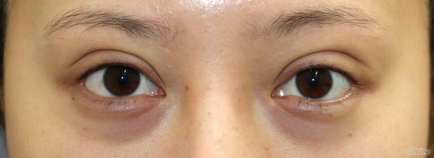
眼瞼下垂手術+下眼瞼拡大術+目尻切開手術後6ヶ月の経過写真です。

make upなしです。

術後は眼瞼下垂手術によって開瞼が良くなりました。

下眼瞼拡大術によってたれ目になっています。

 

手術前の斜めからです。

 

手術後6ヶ月の斜めからです。

 

手術前の横からです。

 

手術後6ヶ月の横からです。

 

手術後6ヶ月の目を閉じたところです。

 

・費用(税別、麻酔代別)

 

眼瞼下垂手術 ¥600,000

下眼瞼拡大術 ¥400,000

 

・リスク・副作用(起こり得る可能性のあること)

 

腫れ、内出血、瞼の違和感、傷跡

埋没した吸収糸の露出

睫毛側皮膚の知覚低下

ラインの消失、瞼の形態の変化、顔の印象の変化

閉瞼不全、ドライアイ、ヘリング現象

三白眼逆さまつ毛、複視

 


Author 美容形成外科医 大場 理事長/院長 ブログ

More posts by 美容形成外科医 大場 理事長/院長 ブログ

© 2018 Primo All rights reserved.

メールで相談 カウンセリング予約 公式LINE オンライン診療 オンラインショップ 0120-062-069