L 二重修正術+ROOF切除術後2週間の経過写真 | プリモ麻布十番クリニック 美容整形ブログ 2503


手術前の目元です。


二重修正術+ROOF切除術後2週間の経過写真です。
make upなしです。
術前は他院で埋没法、全切開2回受けていました。
二重が毎回弛んで浅くなってしまう点、瞼の腫れぼったさをすっきりとさせたいという希望から、当院で二重修正術+ROOF切除術を行いました。
術後の浮腫みがまだありますが、希望の平行型二重はしっかりと形成されました。


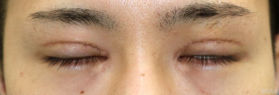
手術前の目を閉じたところです。


術後2週間の目を閉じたところです。


Author 美容形成外科医 大場 理事長/院長 ブログ

More posts by 美容形成外科医 大場 理事長/院長 ブログ

© 2018 Primo All rights reserved.

メールで相談 カウンセリング予約 公式LINE オンライン診療 オンラインショップ 0120-062-069