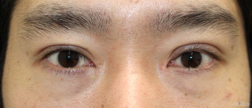
手術前の目元です。 眼瞼下垂手術+目頭切開手術後3ヶ月の経過写真です。 make upなしです。 術後は眼瞼下垂手術の効果で目の開きが改善しています。 マイルドな目頭切開によって目と目の間の距離が狭くバランスが改善しました。 手術後3ヶ月の目を閉じたところです。 眼瞼下垂 目頭切開 にほんブログ村 美容外科ブログランキングへ ・費用(税別、麻酔代別) 眼瞼下垂手術 ¥600,000 目頭切開術 ¥250,000 ・リスク・副作用(起こり得る可能性のあること) 腫れ、内出血、瞼の違和感 睫毛側皮膚の知覚低下 埋没した吸収糸の露出 ラインの消失 瞼の形態の変化、顔の印象の変化 閉瞼不全、ドライアイ ヘリング現象 Tags:二重目頭切開修正術眼瞼下垂手術