M 二重修正術+右他院目尻切開修正術後2週間の経過写真 | プリモ麻布十番クリニック 美容整形ブログ 2503

M 二重修正術+右他院目尻切開修正術後2週間の経過写真


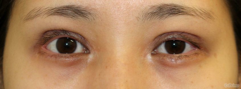
手術前の目元です。


二重修正術+右他院目尻切開修正術後2週間の経過写真です。
make upなしです。

術前は他院で眼瞼下垂手術、全切開、目尻切開、目頭切開を受けてらっしゃいました。
二重幅を少し狭くしたい、右の目尻を修正したいという希望から、
当院で二重修正術+右他院目尻切開修正術を行いました。
術後は二重が狭くなりました。腫れの影響でまだ大きな変化ではありませんが、今後徐々に落ち着いていきます。


術後2週間の目を閉じたところです。


Author 美容形成外科医 大場 理事長/院長 ブログ

More posts by 美容形成外科医 大場 理事長/院長 ブログ

© 2018 Primo All rights reserved.

メールで相談 カウンセリング予約 公式LINE オンライン診療 オンラインショップ 0120-062-069