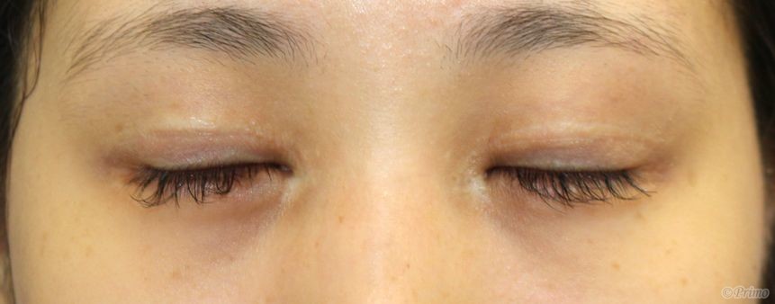
手術前の目元です。 二重修正術+右他院目尻切開修正術後6ヶ月の経過写真です。 make upなしです。 術前は他院で目頭切開、目尻切開、二重全切開などを受けていました。 幅を狭くした、右の目尻の傷跡を目立ちにくくしたいという希望から、 当院で二重修正術+右他院目尻切開修正術を行いました。 術後は二重修正術によって二重が狭くなりました。 右目尻切開の傷跡も他院目尻切開修正術によって目立ちにくく修正されました。 術後6ヶ月の目を閉じたところです。 ・費用(税別、麻酔代別) 二重修正術 ¥440,000 (組織の移植を伴う複雑なもの) ¥550,000 ・リスク・副作用(起こり得る可能性のあること) 腫れ、内出血 瞼の違和感 二重の傷跡 睫毛側皮膚の知覚低下 ラインの消失 瞼の形態の変化 二重修正術 にほんブログ村 美容外科 ブログランキングへ Tags:二重修正術二重修正術(重瞼修正切開術)他院目尻切開修正術重瞼修正切開術