N 二重修正術手術後1週間の経過写真 | プリモ麻布十番クリニック 美容整形ブログ 2503


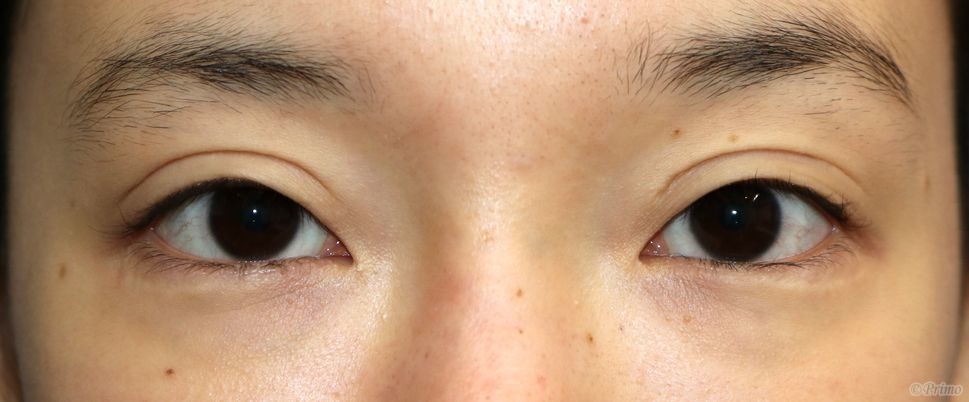
手術前の目元です。


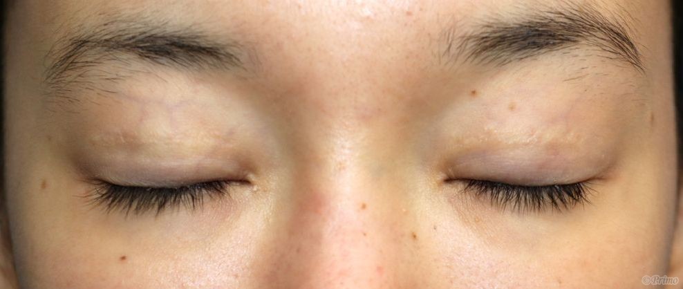
二重修正術後1週間の経過写真です。
make upなしです。

術前は他院で切開法による二重手術を受けていらっしゃました。
広すぎる二重を修正希望で、当院で二重修正術を行いました。
術後は二重幅が狭く改善いたしました。


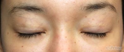
手術前の目を閉じたところです。


手術後1週間の目を閉じたところです。


Author 美容形成外科医 大場 理事長/院長 ブログ

More posts by 美容形成外科医 大場 理事長/院長 ブログ

© 2018 Primo All rights reserved.

メールで相談 カウンセリング予約 公式LINE オンライン診療 オンラインショップ 0120-062-069