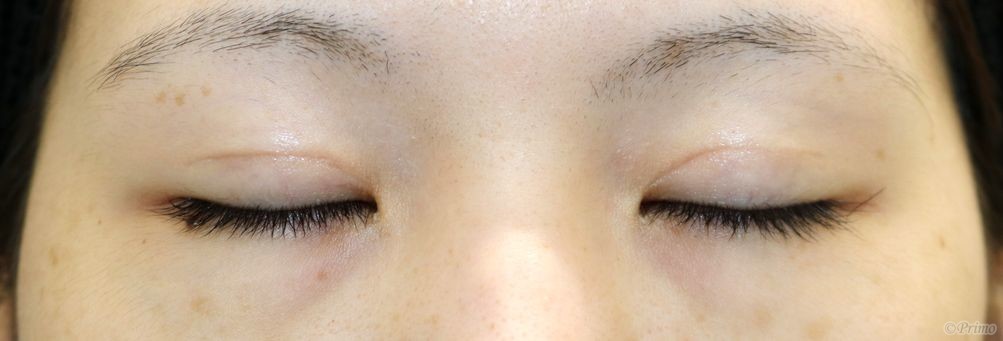
BO 全切開+上眼瞼脱脂術後6ヶ月の経過写真 | プリモ麻布十番クリニック 美容整形ブログ 2503

BO 全切開+上眼瞼脱脂術後6ヶ月の経過写真


Author 美容形成外科医 大場 理事長/院長 ブログ

More posts by 美容形成外科医 大場 理事長/院長 ブログ

© 2018 Primo All rights reserved.

メールで相談 カウンセリング予約 公式LINE オンライン診療 オンラインショップ 0120-062-069