Y 眼瞼下垂手術後2ヶ月の経過写真 | プリモ麻布十番クリニック 美容整形ブログ 2503


手術前の目元です。


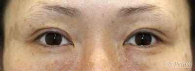
眼瞼下垂手術後2ヶ月の経過写真です。
make upなしです。

術前の眉毛を挙上し少し眠そうな印象が、
眼瞼下垂手術後はまぶたの開きが良くなり、目ヂカラのある印象に変わりました。


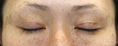
術後2ヶ月の目を閉じたところです。

傷跡は目立たず落ち着いてきました。


Author 美容形成外科医 大場 理事長/院長 ブログ

More posts by 美容形成外科医 大場 理事長/院長 ブログ

© 2018 Primo All rights reserved.

メールで相談 カウンセリング予約 公式LINE オンライン診療 オンラインショップ 0120-062-069