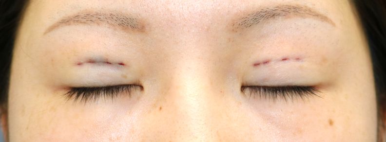
両側二重埋没法 6点固定 手術直後の写真です。
埋没法 6点固定 により二重幅をそろえてご希望の平行型の二重を作成しました。
術直後は腫れがありますが、両側とも平行型の二重で
幅がそろい左右差が小さくなっています。
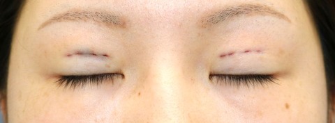
両側二重埋没法 6点固定 手術直後の写真です。
埋没法 6点固定 により二重幅をそろえてご希望の平行型の二重を作成しました。
術直後は腫れがありますが、両側とも平行型の二重で
幅がそろい左右差が小さくなっています。
MEDICAL
CONTENTS
BLOG
MOVIE
GUIDE
RECRUIT





