X 二重埋没法6点固定手術後1日経過写真 | プリモ麻布十番クリニック 美容整形ブログ 2503

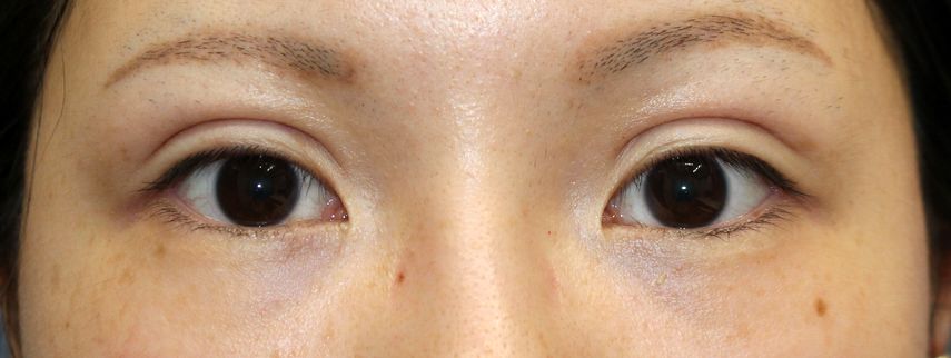
術前目元20160808

手術前の目元です。

他院で2回埋没法を受けていらっしゃいましたが、二重の左右差の改善を希望されました。

特に左上眼瞼内側の二重幅を広くしたいとのご希望でした。

 

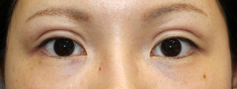
20160813pod1目元

二重埋没法 6点固定 手術後1日の経過写真です。

埋没法 6点固定 により二重幅をそろえてご希望の平行型の二重を作成しました。

術後1日で腫れはありますが、内出血はなく順調な経過です。

 

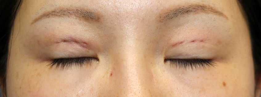
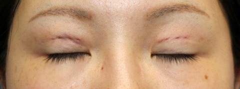
20160813pod1目元閉瞼

目をとじたところです。

 

・費用(税別、麻酔代別)

 

二重埋没法6点固定 ¥160,000

 

・リスク・副作用(起こり得る可能性のあること)

 

腫れ、内出血

瞼の違和感

埋没糸の露出

ラインの消失

逆さまつ毛

 


Author 美容形成外科医 大場 理事長/院長 ブログ

More posts by 美容形成外科医 大場 理事長/院長 ブログ

© 2018 Primo All rights reserved.

メールで相談 カウンセリング予約 公式LINE オンライン診療 オンラインショップ 0120-062-069