X 二重埋没法6点固定手術後2週間の経過写真 | プリモ麻布十番クリニック 美容整形ブログ 2503

X 二重埋没法6点固定手術後2週間の経過写真

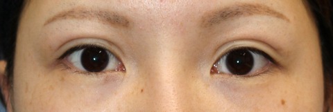
術前目元20160808

手術前の目元です。

他院で2回埋没法を受けていらっしゃいましたが、二重の左右差の改善を希望され

当院にて埋没法 6点固定 を施行しました。

 

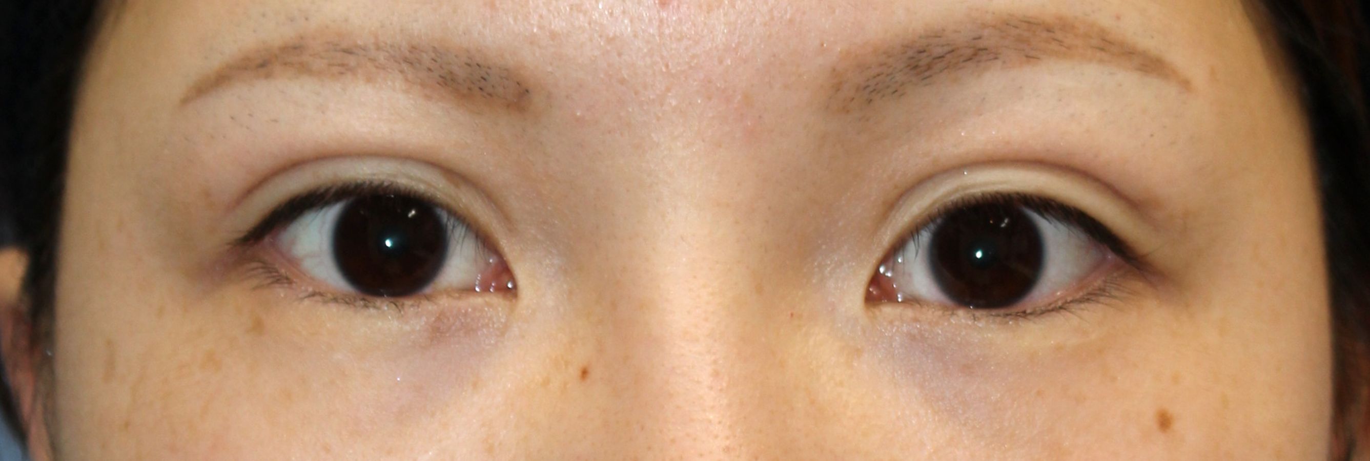
20160827po2W目元

二重埋没法 6点固定 手術後2週間の経過写真です。

make upなしです。

術後2週間でだいぶ腫れは引いており

ご希望の広めの平行型二重が形成されています。

 

20160827po2W目元閉瞼

術後2週間の目をとじたところです。

針穴も目立たなくなってきました。

 

・費用(税別、麻酔代別)

 

二重埋没法6点固定 ¥160,000

 

・リスク・副作用(起こり得る可能性のあること)

 

腫れ、内出血

瞼の違和感

埋没糸の露出

ラインの消失

逆さまつ毛

 


Author 美容形成外科医 大場 理事長/院長 ブログ

More posts by 美容形成外科医 大場 理事長/院長 ブログ

© 2018 Primo All rights reserved.

メールで相談 カウンセリング予約 公式LINE オンライン診療 オンラインショップ 0120-062-069