全切開+上眼瞼脱脂術、目頭切開 手術後1週間の経過写真です。
make upなしです。
術後1週間でまだ浮腫みはありますが
ご希望の平行型の二重が形成されています。
目がぱっちりして大きくみえるようになりました。
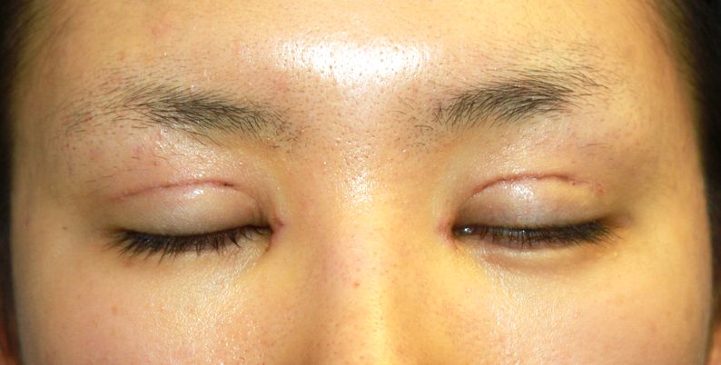
全切開+上眼瞼脱脂術、目頭切開 手術後1週間の経過写真です。
make upなしです。
術後1週間でまだ浮腫みはありますが
ご希望の平行型の二重が形成されています。
目がぱっちりして大きくみえるようになりました。
MEDICAL
CONTENTS
BLOG
MOVIE
GUIDE
RECRUIT





