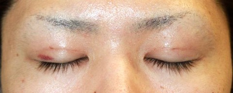
術前の正面写真です。 平行型の二重を希望され、二重埋没法 6点固定 を施行しました。 二重埋没法 6点固定 手術後2週間の経過写真です。 右のみ術後皮下出血を生じましたがだいぶ改善してきています。 もともと右の方が若干開瞼(目の開き)が悪い影響もあり 二重のむくみも右の方が強くみえますが これから徐々に左右差は少なくなっていく見込みです。 目を閉じたところです。 ・費用(税別、麻酔代別) 二重埋没法6点固定 ¥160,000 ・リスク・副作用(起こり得る可能性のあること) 腫れ、内出血 瞼の違和感 埋没糸の露出 ラインの消失 逆さまつ毛 埋没法 にほんブログ村 美容外科 ブログランキングへ Tags:二重埋没法