BB 全切開+上眼瞼脱脂術手術後5日の経過写真 | プリモ麻布十番クリニック 美容整形ブログ 2503

BB 全切開+上眼瞼脱脂術手術後5日の経過写真


20160907po5D目もと
全切開+上眼瞼脱脂 術後5日目の経過写真です。

make upなしです。

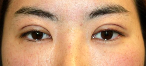
20160907術前目もと
手術前の目元です。

はっきりした広めの二重を希望され

当院で全切開+上眼瞼脱脂術を行いました。

術後5日目でまだ腫れのある時期ですが

ご希望の末広型で広めの二重が形成されています。

20160907po5D閉瞼
術後5日目の目を閉じたところです。


にほんブログ村

 
美容外科 ブログランキングへ


Author 美容形成外科医 大場 理事長/院長 ブログ

More posts by 美容形成外科医 大場 理事長/院長 ブログ

© 2018 Primo All rights reserved.

メールで相談 カウンセリング予約 公式LINE オンライン診療 オンラインショップ 0120-062-069