BC 全切開+上眼瞼脱脂術+目頭切開手術後2週間の経過写真 | プリモ麻布十番クリニック 美容整形ブログ 2503

BC 全切開+上眼瞼脱脂術+目頭切開手術後2週間の経過写真

20160829術前目もと2

手術前の目元です。

はっきりした平行型の二重を希望され

当院で全切開+上眼瞼脱脂術、目頭切開を行いました。

 

20160829po2W目もと

全切開+上眼瞼脱脂術、目頭切開 手術後2週間の経過写真です。

make upなしです。

ご希望の平行型の二重が形成されています。

目がぱっちりして大きくなりました。

 

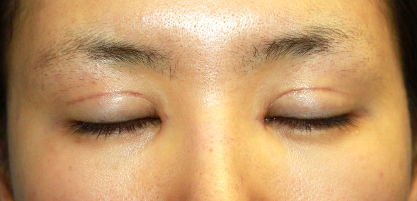
20160829IMG_1665

手術後2週間の目を閉じたところです

きずあとはこれから徐々に目立たなくなっていきます。

 

・費用(税別、麻酔代別)

 

全切開+上眼瞼脱脂術 ¥350,000

目頭切開術      ¥250,000

 

・リスク・副作用(起こり得る可能性のあること)

 

腫れ、内出血、瞼の違和感、傷跡

睫毛側皮膚の知覚低下

埋没した吸収糸の露出

ラインの消失

瞼の形態の変化

 


Author 美容形成外科医 大場 理事長/院長 ブログ

More posts by 美容形成外科医 大場 理事長/院長 ブログ

© 2018 Primo All rights reserved.

メールで相談 カウンセリング予約 公式LINE オンライン診療 オンラインショップ 0120-062-069