BB 全切開+上眼瞼脱脂術手術後2週間の経過写真 | プリモ麻布十番クリニック 美容整形ブログ 2503

BB 全切開+上眼瞼脱脂術手術後2週間の経過写真



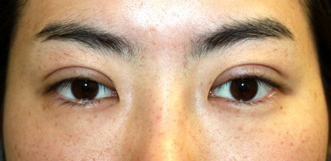
20160917po2W目もと
全切開+上眼瞼脱脂 手術後2週間の経過写真です。

make upなしです。

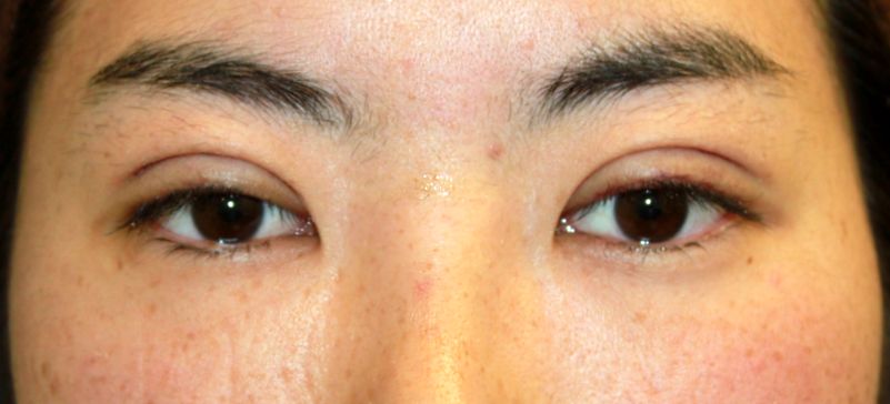
20160907術前目もと
手術前の目元です。

はっきりした広めの二重を希望され

当院で全切開+上眼瞼脱脂術を行いました。

ご希望の末広型で広めの二重が形成されています。

20160917po2W目もと閉瞼
手術後2週間の目を閉じたところです。

傷あとの赤みは今後経過とともに軽快していきます。


にほんブログ村

 
美容外科 ブログランキングへ


Author 美容形成外科医 大場 理事長/院長 ブログ

More posts by 美容形成外科医 大場 理事長/院長 ブログ

© 2018 Primo All rights reserved.

メールで相談 カウンセリング予約 公式LINE オンライン診療 オンラインショップ 0120-062-069