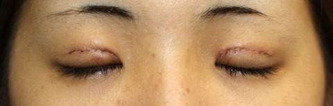
make upなしです。
術前は目の開きが少し悪いために、前頭筋を使い眉毛を挙上して
がんばって目を開いており、おでこにしわがよっていました。
左右差もあり、右の方が目の開きが悪いようでした。
目をぱっちり大きくしたいとのご希望に対して、皮膚切開による眼瞼下垂手術を行いました。
術後1週間でまだむくみはありますが目の開きが良くなり
大きくぱっちりした目になりました。
眉毛が下がっておでこのしわもなくなりました。
今後さらにむくみは軽減し、術前にデザインしたご希望の二重幅に近づいてまいります。
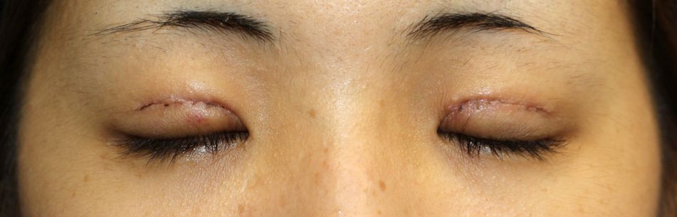
術後1週間の目を閉じたところです。
当院では眼瞼部においても丁寧に細かく形成外科的縫合を行っておりますので
きずあとは目立たなく最小限になります。
抜糸も短期間で可能となります。























