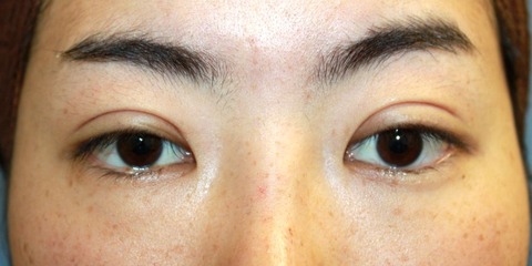
全切開+上眼瞼脱脂 手術後1か月の経過写真です。 make upなしです。 手術前の目元です。 はっきりした広めの二重を希望され 当院で全切開+上眼瞼脱脂術を行いました。 ご希望の末広型で広めの二重が形成されています。 手術後1か月の目を閉じたところです。 今後きずあとは徐々に目立たなくなります。 にほんブログ村 美容外科 ブログランキングへ Tags:上眼瞼脱脂術全切開