Y 二重埋没法6点固定手術後2か月の経過写真 | プリモ麻布十番クリニック 美容整形ブログ 2503

Y 二重埋没法6点固定手術後2か月の経過写真

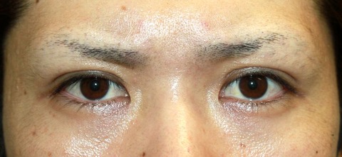
20160815術前

術前の正面写真です。

平行型の二重を希望され、二重埋没法 6点固定 を施行しました。

 

20161006po2M

二重埋没法 6点固定 手術後2か月の経過写真です。

手術後2か月が経過しむくみは落ち着いています。

ご希望の平行型の二重が作成されています。

 

20161006po2M閉瞼

目を閉じたところです。

針穴も目立ちません。

 

・費用(税別、麻酔代別)

 

二重埋没法6点固定 ¥160,000

 

・リスク・副作用(起こり得る可能性のあること)

 

腫れ、内出血

瞼の違和感

埋没糸の露出

ラインの消失

逆さまつ毛

 


Author 美容形成外科医 大場 理事長/院長 ブログ

More posts by 美容形成外科医 大場 理事長/院長 ブログ

© 2018 Primo All rights reserved.

メールで相談 カウンセリング予約 公式LINE オンライン診療 オンラインショップ 0120-062-069