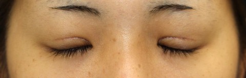
make upなしです。
術前は目の開きが少し悪いために、前頭筋を使い眉毛を挙上して
がんばって目を開いており、おでこにしわがよっていました。
左右差もあり、右の方が目の開きが悪いようでした。
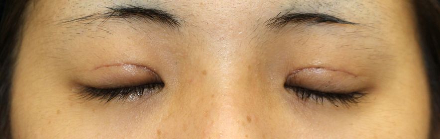
目をぱっちり大きくしたいとのご希望に対して、皮膚切開による眼瞼下垂手術を行いました。
目の開きが良くなり、大きくぱっちりした目になっています。
眉毛が下がっておでこのしわもなくなりました。
ご希望の幅の二重も形成されています。
今後さらにきずあとは目だなくなっていきます。
当院では眼瞼部においても丁寧に細かく形成外科的縫合を行っておりますので
きずあとは目立たなく最小限になります。
抜糸も短期間で可能となります。























