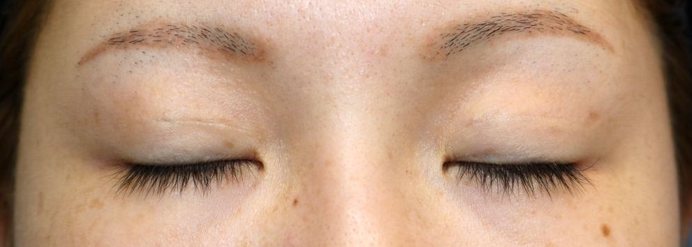
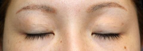
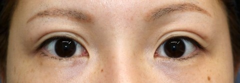
手術前の目元です。 他院で2回埋没法を受けていらっしゃいましたが、二重の左右差の改善を希望され 当院にて埋没法 6点固定 を施行しました。 二重埋没法 6点固定 手術後3か月の経過写真です。 make upなしです。 ご希望の広めの平行型二重が形成されています。 手術後3か月の目をとじたところです。 傷あとも目立ちません。 ・費用(税別、麻酔代別) 二重埋没法6点固定 ¥160,000 ・リスク・副作用(起こり得る可能性のあること) 腫れ、内出血 瞼の違和感 埋没糸の露出 ラインの消失 逆さまつ毛 埋没法 にほんブログ村 美容外科 ブログランキングへ Tags:二重埋没法