BA 二重埋没法6点固定手術後3日までの経過写真 | プリモ麻布十番クリニック 美容整形ブログ 2503

BA 二重埋没法6点固定手術後3日までの経過写真

20161121術前目元

手術前の目元です。

 

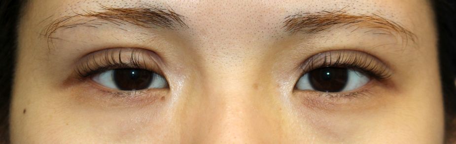
20161121po3d目元

両側二重埋没法 6点固定 手術後3日の写真です。

make upなしです。

平行型の二重を希望され埋没法6点固定を行いました。

術後の腫れがありますが、

両側とも平行型の二重が形成されています。

右の方が若干開瞼が悪く眉毛挙上があるので

二重のむくみも右の方が強くみえますが

これから徐々に左右差は少なくなっていく見込みです。

 

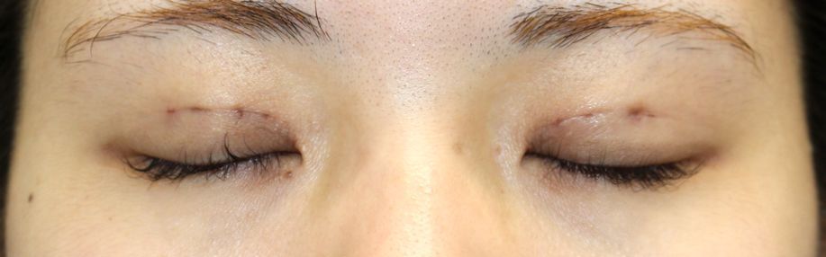
20161121po3d目元閉眼

術後3日の目を閉じたところです。

術後1日と直後の写真です。

20161121po1d目元

手術後1日です。

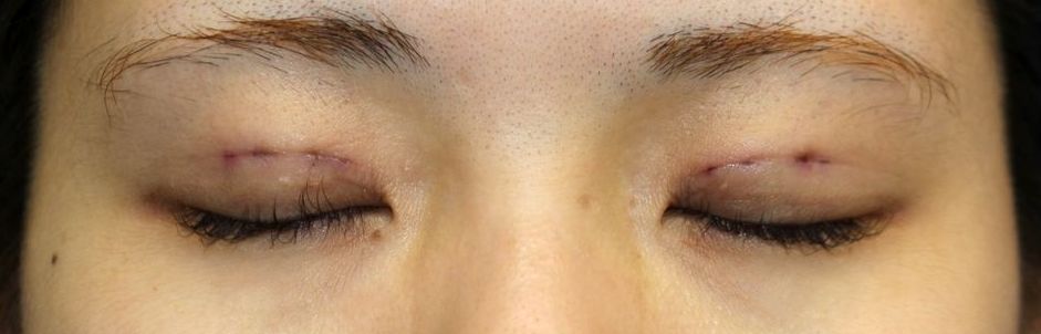
20161121po1d目元閉瞼

手術後1日の目を閉じたところです。

20161121術後目元

手術直後です。

20161121術後目元閉瞼

手術直後の目を閉じたところです。

 

・費用(税別、麻酔代別)

 

二重埋没法6点固定 ¥160,000

 

・リスク・副作用(起こり得る可能性のあること)

 

腫れ、内出血

瞼の違和感

埋没糸の露出

ラインの消失

逆さまつ毛

 


Author 美容形成外科医 大場 理事長/院長 ブログ

More posts by 美容形成外科医 大場 理事長/院長 ブログ

© 2018 Primo All rights reserved.

メールで相談 カウンセリング予約 公式LINE オンライン診療 オンラインショップ 0120-062-069