BJ 二重埋没法6点固定手術後3日までの経過写真 | プリモ麻布十番クリニック 美容整形ブログ 2503

BJ 二重埋没法6点固定手術後3日までの経過写真


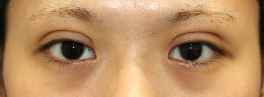
20170107po3d目元
両側二重埋没法 6点固定 手術後3日の写真です。

make upなしです。

平行型の二重を希望され埋没法6点固定を行いました。

術後の腫れがありますが、

両側ともはっきりした平行型の二重が形成されています。

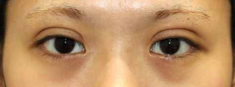
20170107術前目元
手術前の目元です。

20170107po3d目元閉眼
術後3日の目を閉じたところです。

術後1日と直後の写真です。
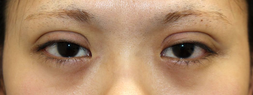
20170107po1d目元
手術後1日です。

20170107po1d目元閉眼
手術後1日の目を閉じたところです。

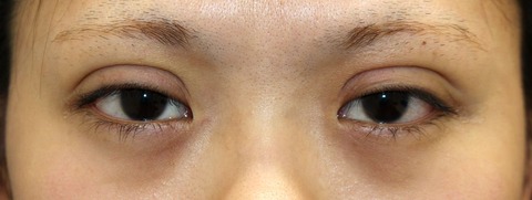
20170107術後目元
手術直後です。

20170107術後目元閉眼
手術直後の目を閉じたところです。


にほんブログ村

 
美容外科 ブログランキングへ


Author 美容形成外科医 大場 理事長/院長 ブログ

More posts by 美容形成外科医 大場 理事長/院長 ブログ

© 2018 Primo All rights reserved.

メールで相談 カウンセリング予約 公式LINE オンライン診療 オンラインショップ 0120-062-069