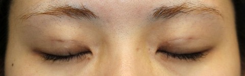
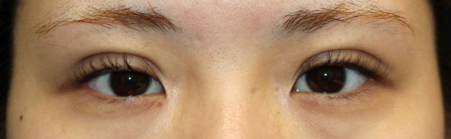
手術前の目元です。 両側二重埋没法 6点固定 手術後2週間の写真です。 make upなしです。 両側ともご希望の平行型の二重が形成されています。 右の方が若干開瞼が悪く二重のむくみも強くみえますが これから徐々に左右差は少なくなっていく見込みです。 術後2週間の目を閉じたところです。 ・費用(税別、麻酔代別) 二重埋没法6点固定 ¥160,000 ・リスク・副作用(起こり得る可能性のあること) 腫れ、内出血 瞼の違和感 埋没糸の露出 ラインの消失 逆さまつ毛 埋没法 にほんブログ村 美容外科 ブログランキングへ Tags:二重埋没法