BB 全切開+上眼瞼脱脂術手術後6か月の経過写真 | プリモ麻布十番クリニック 美容整形ブログ 2503

BB 全切開+上眼瞼脱脂術手術後6か月の経過写真


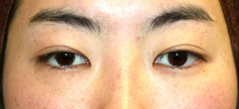
20170204po6M目もと
全切開+上眼瞼脱脂 術後6か月の経過写真です。

make upなしです。


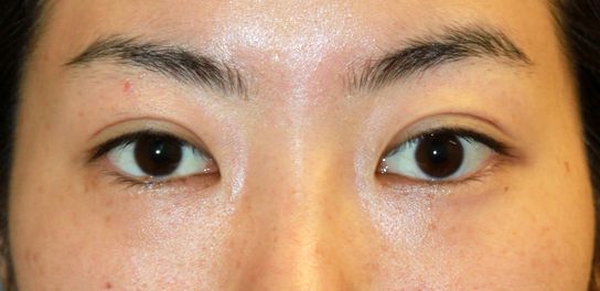
20160907術前目もと
手術前の目元です。

少し幅を広くして、はっきりした二重になりたいと希望され

当院で全切開+上眼瞼脱脂術を行いました。

ご希望であった末広型で広めの二重が形成されています。


20170204po6M閉瞼
手術後6か月の目を閉じたところです。

切開の傷あともきれいです。


にほんブログ村

 
美容外科 ブログランキングへ


Author 美容形成外科医 大場 理事長/院長 ブログ

More posts by 美容形成外科医 大場 理事長/院長 ブログ

© 2018 Primo All rights reserved.

メールで相談 カウンセリング予約 公式LINE オンライン診療 オンラインショップ 0120-062-069