BA 二重 埋没法 6点固定 術後1か月の経過写真 | プリモ麻布十番クリニック 美容整形ブログ 2503

BA 二重 埋没法 6点固定 術後1か月の経過写真


20161222po1M目元

両側二重埋没法 6点固定 手術後1か月の写真です。

make upなしです。

両側ともご希望の平行型の二重が形成されています。

右の方が若干開瞼が悪いので二重幅が広くみえます。

20161121術前目元
手術前の目元です。

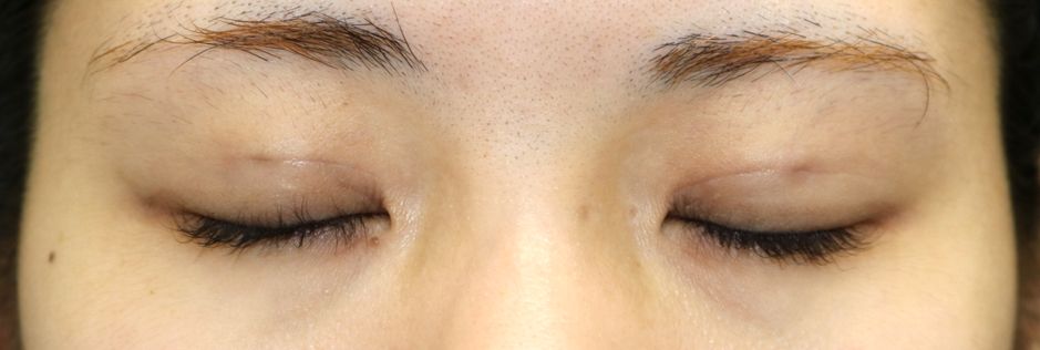
20161222po1M目元閉眼
術後1か月の目を閉じたところです。

針穴のきずは目立ちません。


にほんブログ村

 
美容外科 ブログランキングへ


Author 美容形成外科医 大場 理事長/院長 ブログ

More posts by 美容形成外科医 大場 理事長/院長 ブログ

© 2018 Primo All rights reserved.

メールで相談 カウンセリング予約 公式LINE オンライン診療 オンラインショップ 0120-062-069