BD 眼瞼下垂手術+ROOF切除術+目頭切開手術後1か月の経過写真 | プリモ麻布十番クリニック 美容整形ブログ 2503

BD 眼瞼下垂手術+ROOF切除術+目頭切開手術後1か月の経過写真

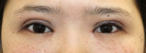
20170112術前目元

手術前の目元です。

目をぱっちりさせて、平行型の二重をつくりたい

まぶたの腫れぼったさを改善したい

目と目の距離を近づけたいとのご希望に対して

眼瞼下垂、ROOF切除、目頭切開を行いました。

 

20170123po1M目元

眼瞼下垂、ROOF切除、目頭切開 手術後1か月の経過写真です。

make upなしです。

術後1か月が経過し、目がぱっちりして、ご希望の平行型の二重が形成されています。

おでこのしわが減り、眉毛が下がることで凛々しい目元になっています。

ROOF切除の効果で、まぶたがすっきりとしてきました。

 

20170123po1M目元閉眼

手術後1か月の目を閉じたところです。

 

・費用(税別、麻酔代別)

 

眼瞼下垂手術 ¥600,000

目頭切開術  ¥250,000

ROOF切除術 ¥300,000

 

・リスク・副作用(起こり得る可能性のあること)

 

腫れ、内出血、瞼の違和感

睫毛側皮膚の知覚低下

埋没した吸収糸の露出

ラインの消失

瞼の形態の変化、顔の印象の変化

閉瞼不全、ドライアイ

ヘリング現象

 


Author 美容形成外科医 大場 理事長/院長 ブログ

More posts by 美容形成外科医 大場 理事長/院長 ブログ

© 2018 Primo All rights reserved.

メールで相談 カウンセリング予約 公式LINE オンライン診療 オンラインショップ 0120-062-069