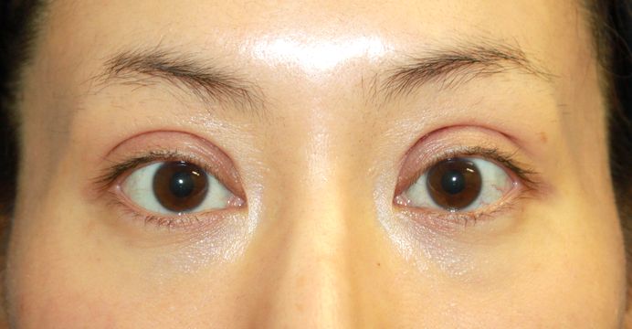
make upなしです。
他院で何度か埋没法による二重形成を受けていらっしゃいましたが
ご希望の二重が形成されておりませんでした。
当院にて切開による二重修正を行いました。
術後1週間でまだ浮腫みはありますが
ご希望の幅広の二重が形成されています。
きずあとはこれから徐々に目立たなくなっていきます。
make upなしです。
他院で何度か埋没法による二重形成を受けていらっしゃいましたが
ご希望の二重が形成されておりませんでした。
当院にて切開による二重修正を行いました。
術後1週間でまだ浮腫みはありますが
ご希望の幅広の二重が形成されています。
きずあとはこれから徐々に目立たなくなっていきます。
MEDICAL
CONTENTS
BLOG
MOVIE
GUIDE
RECRUIT





