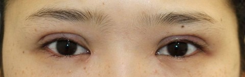
手術前の目元です。 目をぱっちりさせて、平行型の二重をつくりたい まぶたの腫れぼったさを改善したい 目と目の距離を近づけたいとのご希望に対して 眼瞼下垂、ROOF切除、目頭切開を行いました。 眼瞼下垂、ROOF切除、目頭切開 手術後2か月の経過写真です。 make upなしです。 術後2か月が経過し、目がぱっちりして、ご希望の平行型の二重が形成されています。 おでこのしわが減り、眉毛が下がることで凛々しい目元になっています。 ROOF切除の効果で、まぶたがすっきりとしてきました。 手術後2か月の目を閉じたところです。 ・費用(税別、麻酔代別) 眼瞼下垂手術 ¥600,000 目頭切開術 ¥250,000 ROOF切除術 ¥300,000 ・リスク・副作用(起こり得る可能性のあること) 腫れ、内出血、瞼の違和感 睫毛側皮膚の知覚低下 埋没した吸収糸の露出 ラインの消失 瞼の形態の変化、顔の印象の変化 閉瞼不全、ドライアイ ヘリング現象 眼瞼下垂 目頭切開 ROOF切除術 にほんブログ村 美容外科 ブログランキングへ Tags:ROOF切除術目頭切開眼瞼下垂手術