X 二重埋没法6点固定手術後6か月の経過写真 | プリモ麻布十番クリニック 美容整形ブログ 2503

X 二重埋没法6点固定手術後6か月の経過写真

術前目元20160808

手術前の目元です。

他院で2回埋没法を受けていらっしゃいましたが、二重の左右差の改善を希望され

当院にて埋没法 6点固定 を施行しました。

 

20170123po6M目元②

二重埋没法 6点固定 手術後6か月の経過写真です。

make upなしです。

ご希望の広めの平行型二重が形成されています。

 

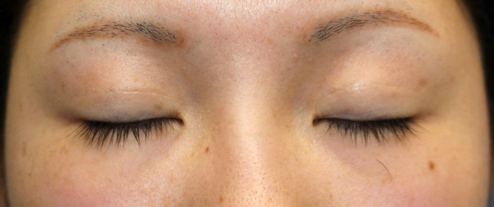
20170123po6M目元閉眼

手術後6か月の目をとじたところです。

傷あとも目立ちません。

 

・費用(税別、麻酔代別)

 

二重埋没法6点固定 ¥160,000

 

・リスク・副作用(起こり得る可能性のあること)

 

腫れ、内出血

瞼の違和感

埋没糸の露出

ラインの消失

逆さまつ毛

 


Author 美容形成外科医 大場 理事長/院長 ブログ

More posts by 美容形成外科医 大場 理事長/院長 ブログ

© 2018 Primo All rights reserved.

メールで相談 カウンセリング予約 公式LINE オンライン診療 オンラインショップ 0120-062-069