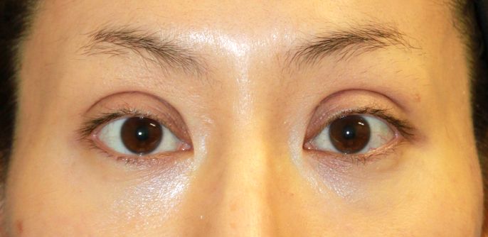
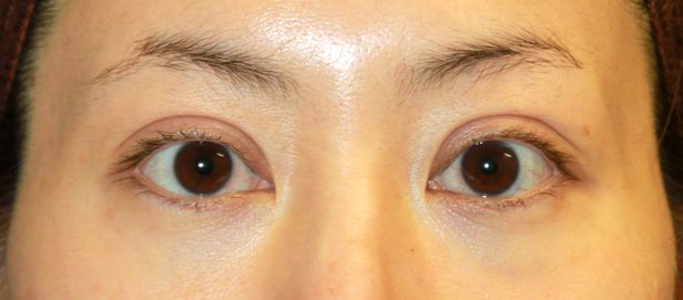
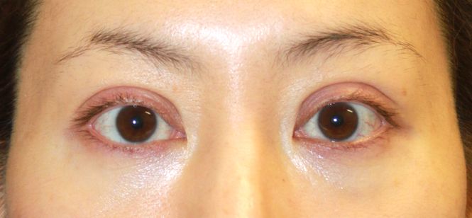
全切開+上眼瞼脱脂術 手術後3か月の経過写真です。 make upなしです。 手術前の目元です。 幅広の二重を希望され 全切開+上眼瞼脱脂術を行いました。 ご希望の幅広の二重が形成されています。 手術後3か月の目を閉じたところです。 にほんブログ村 美容外科 ブログランキングへ Tags:上眼瞼脱脂術全切開