BI 全切開+上眼瞼脱脂術+ROOF切除術+下眼瞼拡大術(たれ目形成)手術後1週間の経過写真 | プリモ麻布十番クリニック 美容整形ブログ 2503

BI 全切開+上眼瞼脱脂術+ROOF切除術+下眼瞼拡大術(たれ目形成)手術後1週間の経過写真

20170302術前目元

手術前の目元です。

二重を少し広くして、腫れぼったさを改善したい

下方向に目を大きくしたいとのご希望に対して

全切開+上眼瞼脱脂、ROOF切除、下眼瞼拡大術を施行しました。

 

20170302po1W目元

全切開+上眼瞼脱脂、ROOF切除、下眼瞼拡大術 手術後1週間の経過写真です。

make upなしです。

術後1週間で、まだ腫れがあり、結膜下出血も認めますが、

はっきりした二重が形成され、下方向に目が大きくなりました。

 

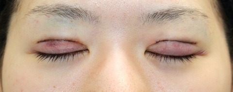
20170302po1W目元閉眼

手術後1週間の目を閉じたところです。

 

20170302術後目元

開瞼時です。

 

20170302術後目元閉眼

閉瞼時です。

 

・費用(税別、麻酔代別)

 

全切開+上眼瞼脱脂術    ¥350,000

ROOF切除術(セット割引) ¥100,000

下眼瞼拡大術        ¥400,000

 

・リスク・副作用(起こり得る可能性のあること)

 

腫れ、内出血、瞼の違和感、傷跡

睫毛側皮膚の知覚低下

ラインの消失

瞼の形態の変化

三白眼逆さまつ毛、複視

 


Author 美容形成外科医 大場 理事長/院長 ブログ

More posts by 美容形成外科医 大場 理事長/院長 ブログ

© 2018 Primo All rights reserved.

メールで相談 カウンセリング予約 公式LINE オンライン診療 オンラインショップ 0120-062-069