N 目頭切開 手術後2週間の経過写真 | プリモ麻布十番クリニック 美容整形ブログ 2503

N 目頭切開 手術後2週間の経過写真


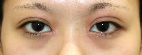
20170302po2W目元
目頭切開 手術後2週間の経過写真です。

make upなしです。


20170216術前目元
手術前の目元です。

術後は目と目の間の距離が狭くなり、目が大きく見えるようになりました。

蒙古襞が解除され大人っぽい印象になりました。

二重も当院にて埋没法で形成しております。

丁寧に細かく形成外科的縫合を行っておりますので

当院では早く抜糸が可能です。


にほんブログ村

 
美容外科 ブログランキングへ


Author 美容形成外科医 大場 理事長/院長 ブログ

More posts by 美容形成外科医 大場 理事長/院長 ブログ

© 2018 Primo All rights reserved.

メールで相談 カウンセリング予約 公式LINE オンライン診療 オンラインショップ 0120-062-069