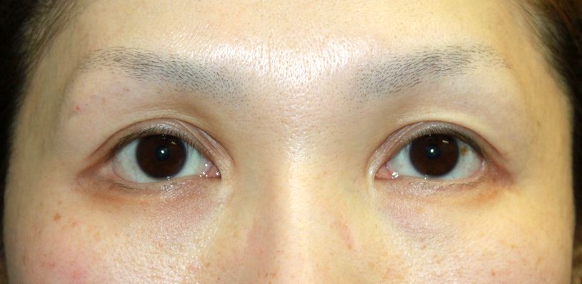
他院で重瞼全切開と目頭切開を受けていらっしゃいました。
目をたれ目にして最大限大きくしたいとのご希望に対して
当院で下眼瞼拡大術と目尻切開を行いました。
術後はたれ目になり、外側に見える白目が大きくなりました。
目尻切開の効果で外側方向へ
下眼瞼拡大術の効果で下方向へ目が大きくなっています。
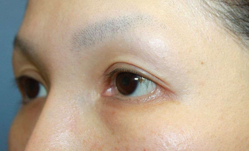
他院で重瞼全切開と目頭切開を受けていらっしゃいました。
目をたれ目にして最大限大きくしたいとのご希望に対して
当院で下眼瞼拡大術と目尻切開を行いました。
術後はたれ目になり、外側に見える白目が大きくなりました。
目尻切開の効果で外側方向へ
下眼瞼拡大術の効果で下方向へ目が大きくなっています。
MEDICAL
CONTENTS
BLOG
MOVIE
GUIDE
RECRUIT





