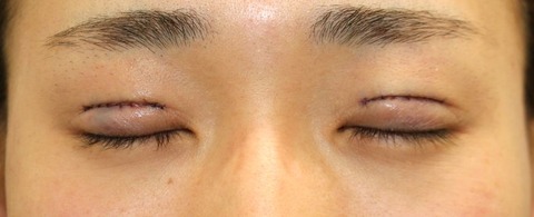
make upなしです。
平行型の二重を希望され
当院で全切開+上眼瞼脱脂術を行いました。
術後の腫れはありますが
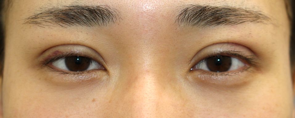
はっきりした平行型の二重が形成されています。
まつ毛の上にのる皮膚のたるみがなくなり、ぱっちりした目になりました。
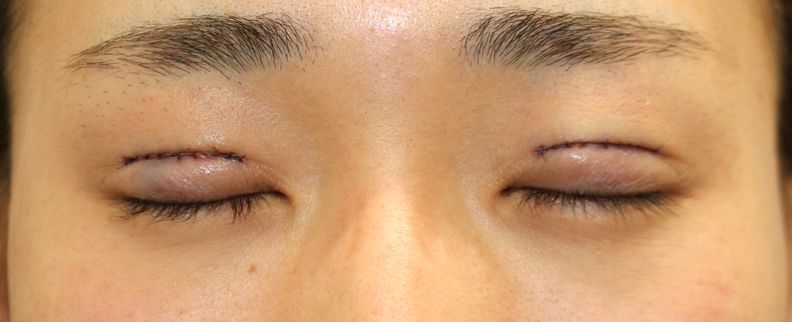
make upなしです。
平行型の二重を希望され
当院で全切開+上眼瞼脱脂術を行いました。
術後の腫れはありますが
はっきりした平行型の二重が形成されています。
まつ毛の上にのる皮膚のたるみがなくなり、ぱっちりした目になりました。
MEDICAL
CONTENTS
BLOG
MOVIE
GUIDE
RECRUIT





