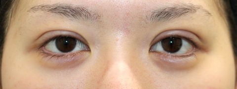
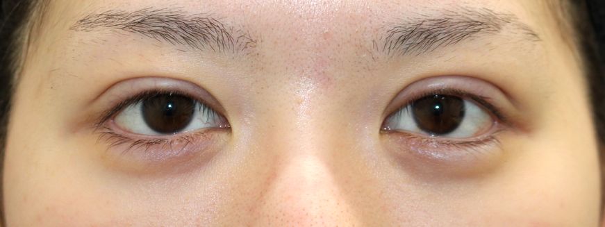
手術前の目元です。 二重を少し広くして、腫れぼったさを改善したい 下方向に目を大きくしたいとのご希望に対して 全切開+上眼瞼脱脂、ROOF切除、下眼瞼拡大術を施行しました。 全切開+上眼瞼脱脂、ROOF切除、下眼瞼拡大術 手術後1か月の経過写真です。 make upなしです。 術後1か月経過し、はっきりした二重が形成され、下方向に目が大きくなりました。 手術後1か月の目を閉じたところです。 ・費用(税別、麻酔代別) 全切開+上眼瞼脱脂術 ¥350,000 ROOF切除術(セット割引) ¥100,000 下眼瞼拡大術 ¥400,000 ・リスク・副作用(起こり得る可能性のあること) 腫れ、内出血、瞼の違和感、傷跡 睫毛側皮膚の知覚低下 ラインの消失 瞼の形態の変化 三白眼、逆さまつ毛、複視 全切開 上眼瞼脱脂術 ROOF切除術 下眼瞼拡大術(たれ目形成) にほんブログ村 美容外科 ブログランキングへ Tags:ROOF切除術上眼瞼脱脂術下眼瞼拡大術全切開