BC 全切開+上眼瞼脱脂術、ROOF切除 手術後3か月の経過写真 | プリモ麻布十番クリニック 美容整形ブログ 2503

BC 全切開+上眼瞼脱脂術、ROOF切除 手術後3か月の経過写真

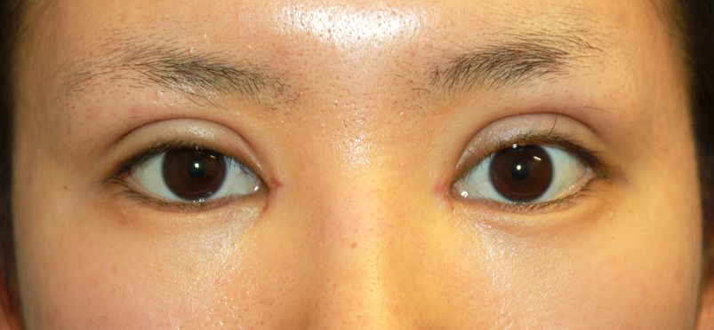
20170420po3M目元 (1)
全切開+上眼瞼脱脂術、ROOF切除 手術後3か月の経過写真です。

make upなしです。

20161222術前開眼
手術前の目元です。

はっきりした平行型の二重をつくりたい

まぶたの腫れぼったさを改善したいとのご希望に対して

全切開+上眼瞼脱脂術、ROOF切除を行いました。

術後3か月経過し

ご希望の平行型の二重が形成され腫れぼったさも改善しています。

ぱっちりした目になりました。

20170420po3M目元 (2)
手術後3か月の目を閉じたところです。


にほんブログ村

 
美容外科 ブログランキングへ


Author 美容形成外科医 大場 理事長/院長 ブログ

More posts by 美容形成外科医 大場 理事長/院長 ブログ

© 2018 Primo All rights reserved.

メールで相談 カウンセリング予約 公式LINE オンライン診療 オンラインショップ 0120-062-069