BH 二重修正術+目頭切開術手術後2か月の経過写真 | プリモ麻布十番クリニック 美容整形ブログ 2503

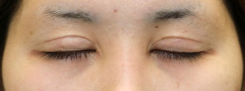
20170216術前目元

手術前の目元です。

他院で切開による二重形成と目頭切開をを受けていらっしゃいましたが

二重幅を少し広げたい、目頭をもう少し開きたいとのご希望に対して

当院にて二重修正術と目頭切開術を行いました。

 

20170414po2M目元

二重修正術、目頭切開術 手術後2か月の経過写真です。

make upなしです。

さらにはっきりした平行型二重となり、まつ毛も上向きになることで

よりぱっちりしたお目元になりました。

 

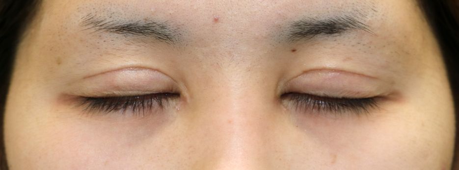
20170414po2M目元閉眼

手術後2か月の目を閉じたところです。

 

・費用(税別、麻酔代別)

 

二重修正術              ¥400,000

(組織の移動や移植を伴う複雑なもの) ¥500,000

目頭切開術              ¥250,000

 

・リスク・副作用(起こり得る可能性のあること)

 

腫れ、内出血、瞼の違和感

二重の傷跡

睫毛側皮膚の知覚低下

ラインの消失

瞼の形態の変化

埋没した吸収糸の露出

 


Author 美容形成外科医 大場 理事長/院長 ブログ

More posts by 美容形成外科医 大場 理事長/院長 ブログ

© 2018 Primo All rights reserved.

メールで相談 カウンセリング予約 公式LINE オンライン診療 オンラインショップ 0120-062-069