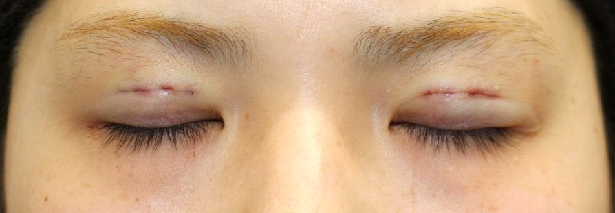
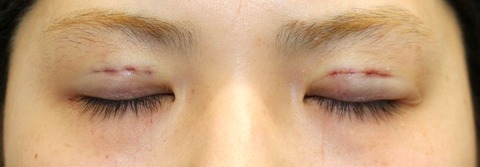
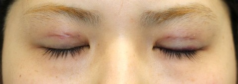
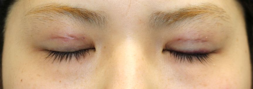
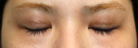
手術前の目元です。 両側二重埋没法 6点固定 手術後3日の写真です。 make upなしです。 術後の腫れがあり、内出血を生じていますが 両側ともご希望の二重が形成されています。 術後3日の目を閉じたところです。 術後1日と直後の写真です。 手術後1日です。 手術後1日の目を閉じたところです。 手術直後です。 手術直後の目を閉じたところです。 ・費用(税別、麻酔代別) 二重埋没法6点固定 ¥160,000 ・リスク・副作用(起こり得る可能性のあること) 腫れ、内出血 瞼の違和感 埋没糸の露出 ラインの消失 逆さまつ毛 埋没法 にほんブログ村 美容外科 ブログランキングへ Tags:二重埋没法