BC 二重埋没法6点固定手術後3か月の経過写真 | プリモ麻布十番クリニック 美容整形ブログ 2503

BC 二重埋没法6点固定手術後3か月の経過写真

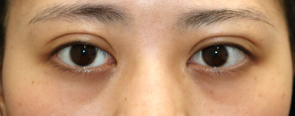
20170112術前目元

手術前の目元です。

幅の広い平行型の二重を希望され埋没法6点固定を行いました。

両側ともはっきりした平行型の二重が形成されています。

 

20170410po3M目元

両側二重埋没法 6点固定 手術後3か月の写真です。

make upなしです。

 

20170410po3M目元閉眼

術後3か月の目を閉じたところです。

 

・費用(税別、麻酔代別)

 

二重埋没法6点固定 ¥160,000

 

・リスク・副作用(起こり得る可能性のあること)

 

腫れ、内出血

瞼の違和感

埋没糸の露出

ラインの消失

逆さまつ毛

 


Author 美容形成外科医 大場 理事長/院長 ブログ

More posts by 美容形成外科医 大場 理事長/院長 ブログ

© 2018 Primo All rights reserved.

メールで相談 カウンセリング予約 公式LINE オンライン診療 オンラインショップ 0120-062-069