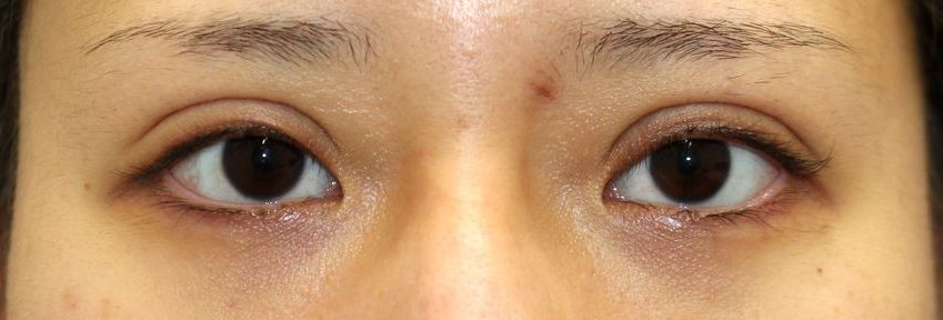
make upなしです。
他院で何度か埋没法による二重形成を受けていらっしゃいましたが
ご希望の二重が形成されておりませんでした。
当院にて切開による二重修正を行いました。
ぱっちりした目になり、ご希望の幅広の二重が形成されています。
make upなしです。
他院で何度か埋没法による二重形成を受けていらっしゃいましたが
ご希望の二重が形成されておりませんでした。
当院にて切開による二重修正を行いました。
ぱっちりした目になり、ご希望の幅広の二重が形成されています。
MEDICAL
CONTENTS
BLOG
MOVIE
GUIDE
RECRUIT





